牙橋底部 微創牙齦增補術
最近無意中看到網路上有人分享這篇文章,心情很雀躍,因為剛好前些日子,針對前牙pontic週邊組織處理很感興趣,搜尋了許多文章,唯獨找不到這篇,想不到燈火闌珊處,今天總算被我給遇到了,
像這樣利用切線小範圍改變軟組織位置的手法,最早是在Enomoto的演講上看到,但因為日本流派通常沒什麼英文的文獻,讓我一直對這樣的方法存有很大的好奇。
在臨床使用後的經驗,結果卻會因病人而異,不一定每個病人都可達到預期的結果,檢討起來,和先天”組織厚度“有很大的關係
先來看我的Case
歐先生 一場車禍後失去了他的21 (拭淚) 在ridge preservation後 軟組織的高度仍顯得有些單薄,
在經過第一次CTG增補軟組織後 11 Crown和 21 Pontic的高度看起來相同 但厚度我仍有些不滿意
因為不想取CTG造成另一個傷口,在彼此充分討論
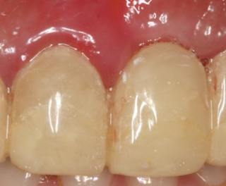
兩顆正中門齒高度差異不大 但21牙齦的厚度略凹陷一些
可以看到完成的時候厚度有被往外推出 牙齦高度也比原本再增加一些
但手術完成當次 看到這樣薄薄的牙肉懸吊在外面 心裏還是有些毛毛的
果不其然 一周追蹤的時候 看到薄牙齦的地方都slough
再等了兩周 缺損的地方隨著傷口癒合有稍微回來一點 但寬度上還是和術前一樣缺一小角
所以仔細省思這樣一個術式 我認為它是有它先天設計上的一些限制 並不是每個case都適合使用

他最不和諧的地方在於:
一般被手術翻起的軟組織,癒合後的結果多半是會「損失」一些組織的量,不是變薄就是高度萎縮,但這邊翻起後卻是變厚,和我們一般的認知有些不同
唯一可能有比較好結果的case,Pontic底下組織必須本來就很厚,才有可能將組織「挪」到外側和上側又不至於整個萎縮,例如說文章裡面舉的例子
所以就我個人而言,想要增補軟組織缺陷最好的方式,還是從其他地方取一塊自體的軟組織來填補(pedicle graft or free graft) ,除非病人原本的條件就不錯(例如夠寬夠厚)又不想從其他地方取組織,我才會考慮用這類型「就地轉移」的手法「挪」動軟組織的位置











